I tumori maligni congiuntivali sono rappresentati dai carcinomi a cellule squamose e sebaceo, dal melanoma, dai tumori linfoidi, dal sarcoma di Kaposi. Tra questi, il melanoma, che origina dai melanociti congiuntivali, è estremamente raro (meno del 2% di tutti i tumori maligni oculari), con una incidenza compresa tra 0.024 e 0.052 nuovi casi ogni 100.000 abitanti, pari a circa 1/40 di quella dei melanomi uveali. La patogenesi di questo tumore è stata sempre fonte di controversie; attualmente si considera che esso origini nel 75% dei casi da una melanosi acquisita primitiva (MAP), mentre nel restante 25% da un nevo congiuntivale pre-esistente o de novo.

Diagnosi
La diagnosi differenziale tra melanoma congiuntivele ed altre lesioni pigmentate benigne (nevo, melanosi, melanocitosi) o pre-cancerose (melanosi acquisita primitiva) si basa essenzialmente su storia clinica, morfologia della lesione e reperto bioptico. Nel nevo congiuntivale esistono spesso spazi cistici intralesionali comunemente assenti nel melanoma. Inoltre l'incidenza del melanoma è maggiore nella età di mezzo, mentre è raro nei primi anni di vita e nell'adolescenza in cui è frequente il riscontro dei nevi. Il melanoma pigmentato è anche facilmente differenziabile, mediante valutazione al biomicroscopio, da quelle lesioni a sede sclerale (melanocitosi oculare o oculodermica) che creano una pseudo pigmentazione congiuntivale. Tra le lesioni pigmentate della congiuntiva la più importante è la melanosi acquisita primitiva (MAP). Si tratta di una lesione piatta, quasi sempre monolaterale, che colpisce prevalentemente pazienti di media età. Essa può aumentare di dimensioni o modificare la propria pigmentazione nel tempo, ma, soprattutto, può trasformarsi in melanoma congiuntivale; questo evento si verifica 50% dei casi di MAP che presentano atipie cellulari all'esame istologico. Nelle lesioni con un aspetto morfologico francamente benigno l'approccio diagnostico si basa sulla valutazione clinica e sulla documentazione fotografica, ripetute e confrontate nel tempo. Nelle lesioni dubbie di piccole dimensioni è consigliata l'escissione chirurgica in toto e la valutazione istologica. Nelle lesioni di maggiore dimensione è preferibile eseguire biopsie multiple di aree con diversa morfologia. Le biopsie multiple di lesioni maligne non peggiorano la prognosi.
Il paziente affetto da melanoma congiuntivale deve essere sottoposto, prima del trattamento locale, ad indagini diagnostiche per escludere la presenza di metastasi. Queste possono interessare, per diffusione linfatica, i linfonodi cervicali, sottomandibolari, preauricolari e addominali, nonché il tessuto sottocutaneo periorbitario, e, per via ematica, il fegato, lo scheletro, la parotide ed il sistema nervoso centrale. Robertson ha riferito su alcuni pazienti con metastasi alle cavità nasali e paranasali; questa importante segnalazione suggerisce l'esecuzione di una visita otorinolaringoiatrica.

Trattamento e risultati
L'approccio terapeutico è guidato dalle dimensioni e dalla localizzazione del melanoma. Nei melanomi di piccole dimensioni localizzati in sedi favorevoli (congiuntiva bulbare e perilimbare) è sufficiente una ampia resezione chirurgica. Nei casi situati in sedi sfavorevoli (congiuntiva palpebrale, fornice, caruncola e margine palpebrale) o di grandi dimensioni, l'exenteratio orbitae, tecnica chirurgica radicale in cui si rimuove tutto il contenuto orbitario con conseguente cecità e deturpazione del volto, era considerata l'unico trattamento proponibile. Un recente studio retrospettivo ha tuttavia dimostrato che la sopravvivenza dei pazienti sottoposti ad exenteratio orbitae non era migliore di quelli trattati con exeresi chirurgica locale, suggerendo di limitare l'impiego della chirurgia radicale ai soli casi che infiltrano l'orbita. Attualmente nei melanomi a localizzazione sfavorevole si preferisce quindi eseguire un'asportazione chirurgica totale della lesione con ampio margine di sicurezza ed associare la crioterapia, la radioterapia o la chemioterapia topica con Mitomicina C in gocce.

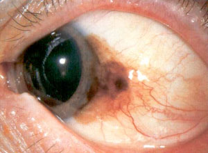
Prima

Dopo Mito C
Attualmente è allo studio la tecnica del linfonodo sentinella, da individuare con una linfoscintigrafia, e da asportare chirurgicamente per valutare precocemente l'interessamento metastatico della catena linfonodale.
La mortalità a 5 anni varia dal 14% al 27%; a 10 anni è del 30% circa. I fattori di rischio statisticamente significativi sulla mortalità sono la localizzazione sfavorevole (mortalità doppia rispetto alle altre localizzazioni), la presenza di cellule miste, fusate ed epitelioidi (mortalità tripla rispetto alla sola cellularità fusata), la multifocalità (mortalità quintupla rispetto alle forme monofocali). Il grado di invasione profonda del tumore determina una mortalità più elevata, soprattutto nel gruppo di pazienti con tumore in sede sfavorevole.